Metamorfozy

Wybielanie Laserem
Odbudowa

 

Bonding
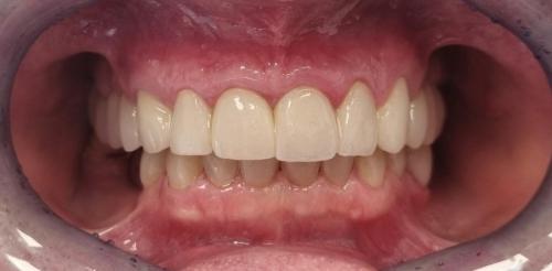
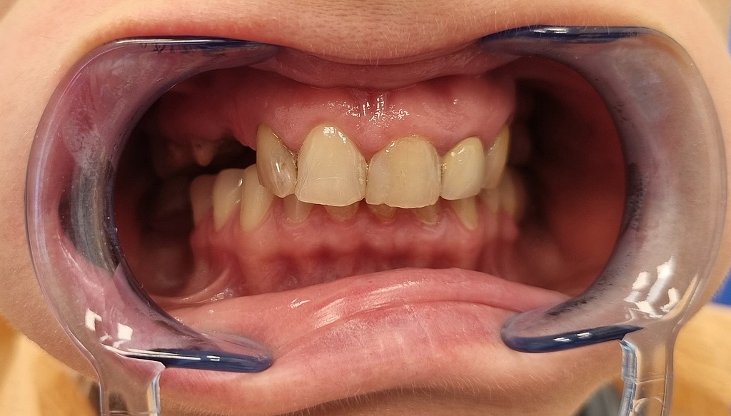
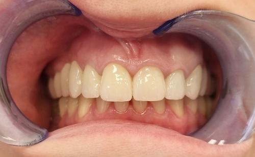
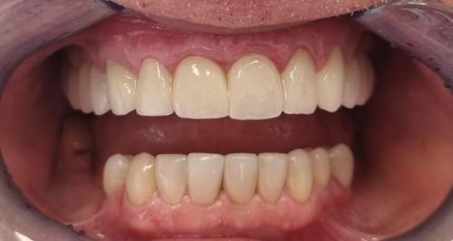
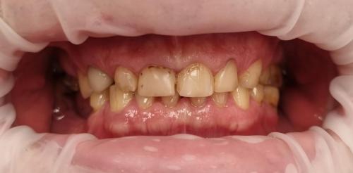
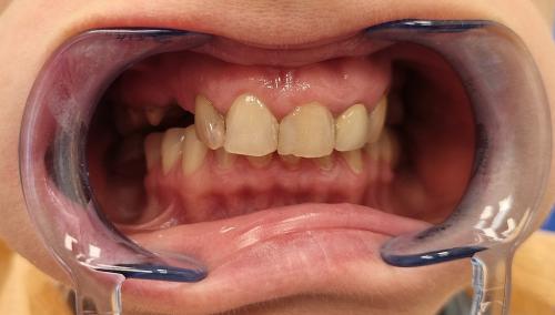
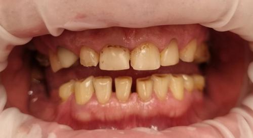
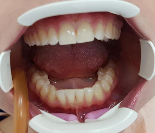
Współczesna stomatologia zajmuje się  nie tylko leczeniem zębów. W dzisiejszych czasach pacjent oczekuje, że oprócz zdrowia i funkcjonalności , zęby będą jego najlepszą wizytówką w sferze uczuciowej, kontaktach zawodowych czy w stosunkach społecznych.
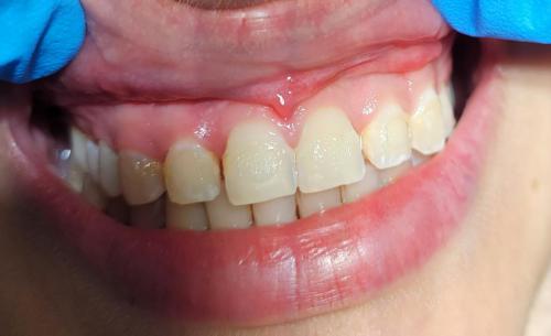
W naszym gabinecie możemy pochwalić się  jakie metamorfozy przeszli nasi pacjenci aby uzyskać efekty o jakich zawsze marzyli. Pokazane poniżej przykłady są wynikiem pracy całego zespołu lekarzy stomatologów zajmujących się chirurgią, ortodoncją, protetyką czy endodoncją. Prawdziwa stomatologia estetyczna łączy w sobie wszystkie działy stomatologii i ma na celu nie tylko poprawę koloru czy kształtu zębów ale także ustalenie prawidłowego zgryzu i uzupełnienie brakujących zębów.

Polityka Prywatności i polityka cookies

Serwis wykorzystuje pliki cookies. Korzystając ze strony wyrażasz zgodę na wykorzystywanie plików cookies oraz akceptujesz politykę prywatności. Czytaj więcej
Akceptuję